Smile Upgrade

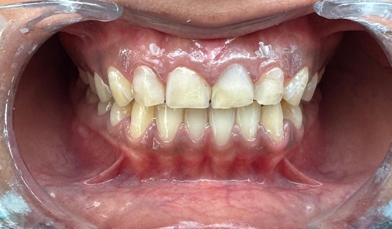
"Refresh your smile by replacing worn or outdated veneers with a natural, radiant look. Achieve a brighter, healthier smile that enhances your confidence and facial aesthetics

Before

Portfolio Image
Portfolio Image
Gallery Image
Gallery Image

After

Portfolio Image
Portfolio Image
Gallery Image
Gallery Image