Veneers

Upper 6 units veneers only

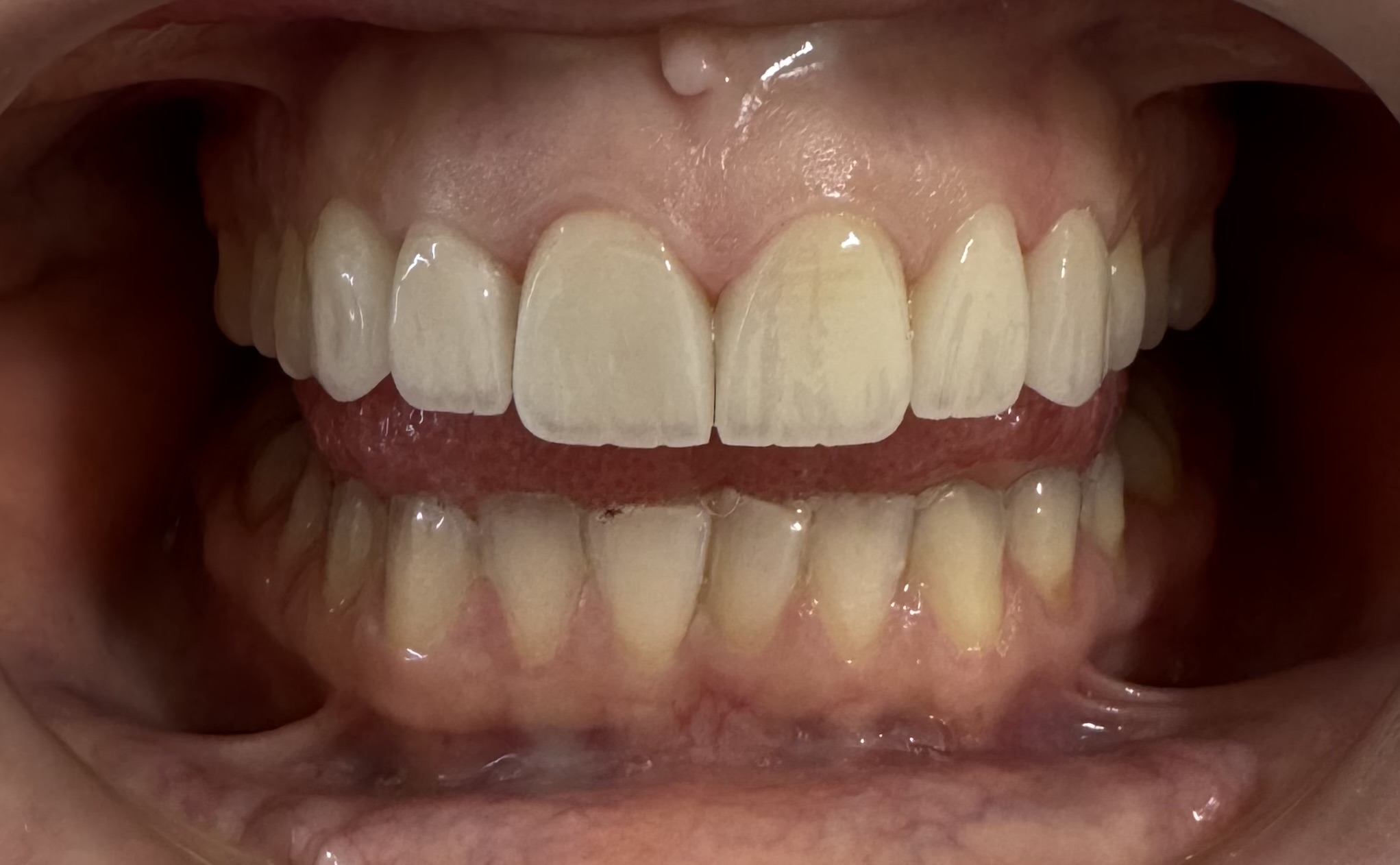
Before

Portfolio Image
Portfolio Image
Gallery Image
Gallery Image

After

Portfolio Image
Portfolio Image
Gallery Image
Gallery Image